Procedure rilassate e piacevoli sono ugualmente importanti per tutti, i pazienti e lo staff. È soddisfacente e motivante quando tutto va secondo i piani e le cose vanno bene. L'utilizzo di Orthophos o Axeos con Sidexis 4 fornisce un supporto mirato. I sistemi radiografici sono semplici da usare, ma personalizzati nelle loro opportunità di trattamento. Ciò garantisce che ogni aspetto del processo di trattamento crei un'esperienza positiva.
Benvenuti in PIA, Posizionamento del paziente e assistente all’immagine
PIA è un concetto intelligente espresso in 10 punti per un facile posizionamento del paziente e l'acquisizione di immagini. Per il paziente, questo significa comfort notevole, per l'assistente flussi di lavoro facili ed efficienti.
EasyPad
L'EasyPad consente di ruotare e inclinare il display touch e fornisce anche una selezione intuitiva del programma
Regolazione intelligente dell'altezza
La regolazione intelligente dell'altezza consente la preparazione dell'unità radiografica prima dell'arrivo del paziente
Poggiatesta motorizzato e regolabile
Poggiatesta motorizzato e regolabile con arresto automatico sulla testa del paziente e apertura automatica al termine dell'acquisizione dell'immagine
Specchio orientabile integrato
Lo specchio girevole integrato supporta il corretto posizionamento del paziente
Posizionatore automatico unico
L'esclusivo posizionatore automatico determina automaticamente la corretta inclinazione della testa.
Compensazione spinale automatica
Compensazione automatica della colonna vertebrale per una migliore qualità dell'immagine panoramica nella regione anteriore
Linee leggere
Linee leggere per una facile visibilità del volume
Misurazione automatica della larghezza delle tempie
In base alla misurazione automatica della larghezza delle tempie, la rotazione del dispositivo si adatta a ogni singolo paziente
Morso universale
L'area radiografica può essere facilmente adattata utilizzando il morso universale, che consente la modifica su base individuale da paziente a paziente
Maniglie ergonomiche
Maniglie ergonomiche per supportare il posizionamento stabile del paziente
Farà la differenza
Posizionamento semplice
Funzionamento intuitivo
Tempo di acquisizione breve
Immagini di Lavoro con PIA
Posizionamento senza barriere
Maggiore stabilità per immagini di alta qualità
Morso universale
Parliamo del morso occlusale di Dentsply Sirona
EasyPad intuitivo
Funzionamento intuitivo tramite EasyPad
Il funzionamento del morso occlusale non potrebbe essere più semplice. Con l'aiuto dei simboli e dei colori sul display del radiografico, i professionisti hanno tutte le informazioni necessarie per una messa a punto ottimale del dispositivo. Le frecce illuminate indicano in quale direzione l'unità deve essere spostata per ottenere l'inclinazione ideale della testa. Il dispositivo si ferma automaticamente una volta raggiunta la posizione corretta.
Girevole e inclinabile con il pannello di comando "EasyPad"
Disposizione chiara dei pulsanti
Semplici simboli
Posizionamento del paziente 2D con dispositivo occlusale
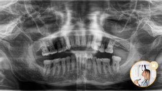
Il risultato: scansioni precise grazie al morso occlusale
Posizionamento corretto del paziente con il morso occlusale - inclinazione ideale garantita per le immagini panoramiche
Posizionamento del paziente non corretto - paziente inclinato in avanti
Posizionamento del paziente non corretto - paziente inclinato all'indietro
Il posizionamento con Orthophos SL è molto semplice per il nostro team. I numerosi strumenti, come i localizzatori di luce automatici, i pulsanti di regolazione dell'altezza illuminati e la selezione intuitiva del programma ci consentono di lavorare in modo efficiente offrendo al contempo un'ottima qualità dell'immagine.
Il design pluripremiato di Orthophos e Axeos è allo stesso tempo puristico e pulito. I riuniti digitali possono essere facilmente integrati in qualsiasi concetto di stanza e sono accessibili senza barriere, fornendo supporto e modifiche per una serie di situazioni cliniche. Ogni modello si adatta all’ "impronta" dell'altro e può essere configurato individualmente.
Poiché vogliamo che il paziente si senta a proprio agio nell'ambiente radiografico, abbiamo progettato Orthophos SL e Axeos dando la priorità sia agli elementi ergonomici che alle esigenze generali del paziente. Pertanto, il concetto di illuminazione integrata per la tranquillità era importante per noi tanto quanto le caratteristiche che supportano il comfort di posizionamento.
Più vantaggi per il tuo studio
Che si tratti di hardware o software, una varietà di soluzioni radiologiche ti sta aspettando.